Kompleksowe leczenie stomatologiczne w Rehadent to proces, który łączy precyzyjną diagnostykę, interdyscyplinarne podejście i doświadczenie zespołu.

Każdy przypadek analizujemy funkcjonalnie i estetycznie — oceniamy zgryz, ruchomość żuchwy, napięcia mięśniowe, stawy, strukturę zębów, ale też proporcje uśmiechu, linie twarzy i oczekiwania pacjenta.

Na podstawie tych danych tworzymy indywidualny plan leczenia — w którym zaangażowani są specjaliści z różnych dziedzin: lekarze stomatolodzy, protetycy, fizjoterapeuci, periodontolog, chirurg, logopeda, a jeśli trzeba — także osteopata czy dietetyk.

Pracujemy w izolacji i pod powiększeniem, co pozwala na pełną kontrolę nad każdym etapem — od opracowania zęba po cementowanie finalnej pracy.
Wykorzystujemy cyfrowe projektowanie, skanery wewnątrzustne, systemy CAD/CAM i mikroskopy, aby precyzja wykonania była powtarzalna i przewidywalna.

W Rehadent nie działamy pod presją czasu.

Leczenie prowadzimy zgodnie z zasadami „slow dentistry” — spokojnie, bez kompromisów, z myśleniem o trwałości i funkcji.
Zespół, który prowadzi pacjenta, pracuje według znanego sobie schematu — wypracowanego przez lata, opartego na doświadczeniu i sprawdzonych protokołach.
Dzięki temu każdy etap jest przemyślany, a decyzje wynikają z danych, nie z przypadku.

Kompleksowe leczenie w Rehadent to droga, w której nie chodzi tylko o zęby — ale także o przywrócenie równowagi całemu systemowi.

Nakłady pośrednie hybrydowe

Bezpośrednie odbudowy kompozytowe

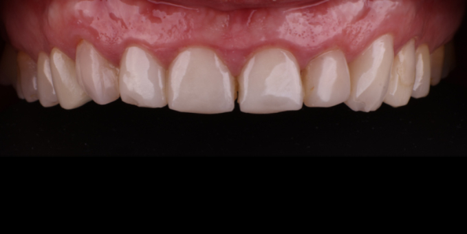
Okluzja przed rekonstrukcją

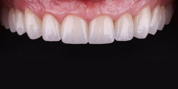
Okluzja po rekonstrukcji

Telefon Zadzwoń Email Napisz